Skip to content Skip to sidebar Skip to footer

Professor Richard Scolyer's Powerful Message Following Grim Brain Cancer Diagnosis

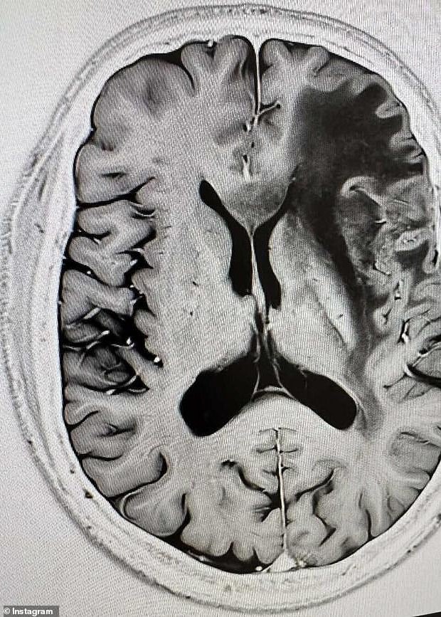
  • EXPLORE FURTHER: Richard Scolyer's bold statement following concerning MRI result

Australian of the Year and internationally renowned cancer Professor Richard Scolyer, an esteemed expert, has delivered a concerning update regarding his stage four brain cancer.

The 58-year-old was diagnosed with 'incurable' glioblastoma in June 2023 after he suffered headaches and seizures while on holiday.

For two years after undergoing an experimental treatment devised by his colleague and fellow Australian of the Year honoree, Professor Georgia Long, he showed no indications of cancer returning.

The therapy enabled him to surpass the prediction of only living for another six months, and he was informed that he was free from cancer last November.

By March, however, the tumor had recurred, and the father of three was once more given only months to live.

On Monday, Prof Scolyer revealed the glioblastoma in the left side of his brain had progressed as he shared the results of a recent MRI on his Instagram .

He noted, 'A recent MRI revealed additional progression of my glioblastoma (IDH wild-type) on the left side of my brain along with nearby areas showing reactive changes.'

Although this might not be the ideal path for my adjustments, surprisingly enough, I remain enthusiastic about continuing to live, love, and enjoy myself as much as possible.

'It feels as though I have quite a number of individuals supporting me from within my team, including some dear family members and friends, and their presence brings joy and pride into my life.'

The professor got a deluge of good wishes on his post.

"Undoubtedly, you're the most cherished and admired gentleman. We all feel such pride in you," someone commented.

"A legend forever, mate. The entire country is backing you," another person added.

'Thirdly, you remain an inspiration to countless individuals, Richard. Appreciate you sharing all the updates, both positive and negative; we're all here supporting you,' they commented.

In March, Professor Scolyer stated that although they managed to take out part of his recurring tumor, the doctors couldn’t extract certain sections.

Regrettably, I have a rapidly expanding tumor in my left hemisphere which is quite large," he shared on Instagram. "The outlook isn’t good.

He mentioned that he was uncertain about the efficacy of the experimental treatment, however, he expressed hope that the resulting data might have an impact on future cases.

Professor Scolyer and his colleague Professor Long were honoured as Australians of the Year in 2024 for their impact on countless lives. preserved in groundbreaking new therapies for melanoma using immunotherapy.

He is an exceptionally productive writer, with over 700 publications and book chapters on melanoma pathology to his credit, earning him recognition as one of the premier authorities globally in this area.

The 2021 Order of Australia honoree stays calm about his path, saying he simply aims to create an impact. He has received acclaim for his honesty and courage in sharing his battle with cancer.

During an emotionally charged interview with Ally Langdon on A Current Affair in March, Professor Scolyer stated that he felt "unprepared to depart just yet."

'Life isn’t always fair, yet we all have something to learn... embrace each day as it comes since tomorrow remains uncertain,' he said.

The dad of three recently marked his oldest child, Emily, turning 21.

'It was wonderful to reconnect with loved ones to celebrate her. She’s such an incredible daughter & we adore her so much!' he posted on Facebook.

Read more

Post a Comment for "Professor Richard Scolyer's Powerful Message Following Grim Brain Cancer Diagnosis"